

여드름이란?
여드름이란 ‘열이 들어있다’라는 뜻으로 몸속의 열이 피부로 쌓이다가 터져 나오는 현상
입니다. 한방에서는 여드름을 체내에 쌓인 독소가 제대로 배출되지 못하고 기혈의 순환이
원활하지 못하여 안면으로 열이 몰려 피부를 통해 분출되는 현상으로 보고 있습니다.
진한의원에서는 여드름을 치료하기 위해 장기의 불균형을 바로잡고 몸속에 정체되어
있는 독소와 노폐물을 배출하여 여드름의 생긴 원인을 제거하는‘근본치료’를 시행합니다.

여드름 원인

여드름 유형

좁쌀여드름이라고도 하며, 여드름 초기단계로 과잉분비된 피지가 밖으로 나오지 못하고 모낭 안에 고여 있는 상태입니다. 치료하지 않고 방치하면 산화하여 검게 변하거나 구진성 여드름으로 발전합니다.

비염증성 여드름과 염증성 여드름 병변의 중간형태로 붉은 색을 띄며, 발열감과 통증, 가려움증 등을 유발합니다. 손으로 무리하게 짜면 색소침착과 함께 이차감염에 의해 염증이 더 심해질 수 있습니다.

농포는 구진의 염증 악화로 인한 여드름 중기단계로, 노란 고름을 중심으로 붉은 색을 띕니다. 자칫 잘 못 짜게 되면 여드름이 더욱 심해지거나 고름이 안쪽에서 터져 함몰흉터를 유발할 수 있습니다.

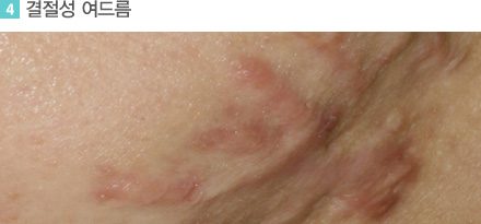
결절성 여드름은 모낭벽이 파괴된 후 피지, 유리지방산, 세균, 각화세포 등이 진피 내로 들어가 피부 조직에 면역반응을 유도함으로써 피부 내에 깊은 고름주머니를 형성하고 있는 형태로, 여드름의 크기가 크고 염증이 매우 심하며 단단하면서도 누르면 통증을 유발합니다.



머리카락보다 가는 미세침이 달린 롤러를
이용, 피부 자극으로 자체 콜라겐 생성을
유도

피부 속 모공에 있는 모낭충과 노폐물을
제거

표피의 손상 없이 진피층을 자극하여 여드
름 흉터 및 넓어진 모공을 좁혀주는 효과

여드름의 원인이 되는 피지선과 여드름균
을 선택적으로 파괴

각질을 제거하고 피지분비를 억제하여 손
상된 피부조직의 재생을 유도

흉터 아래에 있는 섬유화된 피부조직을 바
늘을 이용하여 끊어주고 콜라겐과 탄력섬
유를 증진시켜 피부의 재생 능력 극대화

피부의 자연치유능력을 활성화시키고면역
기능을 조절

체질에 따라 맞춤 처방된 클린한약을 통해
피부 면역력을 강화시키고 해독과 재생작
용을 증강시켜 여드름 원인 근본치료 / 만
성적인 피부질환 예방

피부에 문제를 일으키는 원인인 체내의 독
소를 배출시켜 세포의 파괴를 막고 원활한
신진대사 촉진






여드름의 치료사례

